Artist Statement
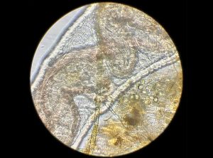
I have been looking recently at worlds
within worlds. Those we can’t easily see but
are playing a part, as we do, in the functioning of the world we live in. I am enthralled by the natural world and particularly the smaller things. Ones that are often overlooked. I have found myself drawn to mosses and the microscopic life that is in and around these
fascinating tiny plants. A carpet of moss is like a forest in miniature; a thriving habitat. The role of mosses, particularly sphagnum, in storage of both water and carbon is huge. Mosses help fight air pollution, colonise bare ground paving the way for other plants to grow and can reduce the risk and severity of flooding. They are also very beautiful and varied when you look closely.
Perhaps we can pay closer attention to things in front of us to help gain a deeper connection to the world around us, and perhaps this will
result in an increased empathy with the non-human.
Artist Bio
Kit Martin studied Biological Imaging, Medical Illustration (photography) and Environmental Management and worked in both medical and police photography before moving into environmental work with SNH, Zero Waste Scotland and others.
Since starting her freelance artistic practice, Kit’s work has been shown in Museums and Galleries around Scotland. She has twice been an invited artist with CONTACT Photo Festival in Toronto and for Analogue Dreams in Aberdeen. As a member of Shutterhub Kit has exhibited at OPEN Photomonth (London & Amsterdam), Festival Pil’ours, Retina Festival and in Cambridge and is featured in their book Yearbook 2020. As a volunteer Kit photographed people with strong links to woodlands in Scotland for Reforesting Scotland’s book Woodlanders; New Life in Britain’s Forests.
She regularly runs workshops in the cyanotype process with adults and young artists as well as argyrotype and pinhole camera workshops.
